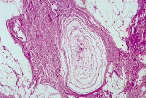
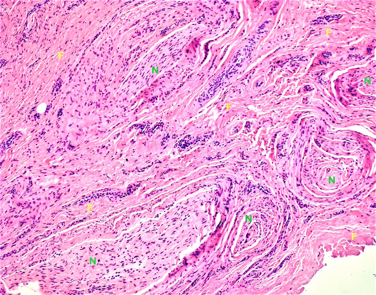
Morton Neuroma Pathology

2020-09-26

Morton Neuroma Pathology / Troy watson, m.d., serving henderson nv, las vegas nv and the surrounding area.

Headline

Monash Graduation

Raine & Horne Commercial Macarthur